Support

Lorem ipsum dolor sit amet:

24h / 365days

We offer support for our customers

Mon - Fri 8:00am - 5:00pm (GMT +1)

Get in touch

Cybersteel Inc.
376-293 City Road, Suite 600
San Francisco, CA 94102

Have any questions?
+44 1234 567 890

Drop us a line
info@yourdomain.com

About us

Lorem ipsum dolor sit amet, consectetuer adipiscing elit.

Aenean commodo ligula eget dolor. Aenean massa. Cum sociis natoque penatibus et magnis dis parturient montes, nascetur ridiculus mus. Donec quam felis, ultricies nec.

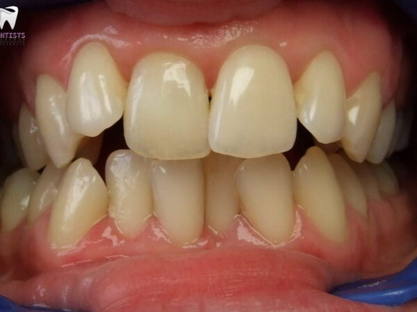
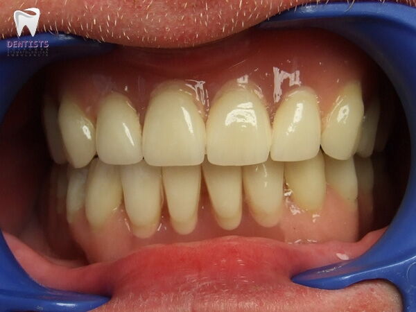
Naša práca

Bielenie

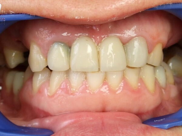
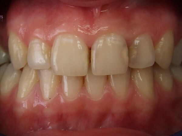
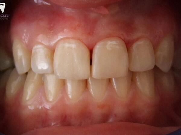
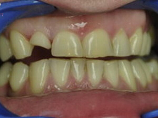
Dostavba jednotky – pr.

Plomby – estetika front

Dostavba – dvojky

Korunka

Mostíky

Protéza

Diastéma

Dlahy na bruxizmus

Zubná ambulancia Martina Hindoša

Radi vás privítame v našej ambulancii

Vyskúšajte výhody detailnejšieho vyšetrenia a ošetrenia. Postaráme sa o všetko, čo bude potrebné pre úspešnú preventívu aj liečbu.

Možnosť parkovania v areáli ambulancie.

Kontakt

DENTISTS s.r.o.
Sabinovská 108
080 01 Prešov

Sledujte nás

DENTISTS s.r.o. je zubná ambulancia, ktorá má za cieľ poskytovať ľuďom kvalitnú starostlivosť o zuby a ústnu dutinu.

Nastavenia uložené
Nastavenia ochrany osobných údajov

Uchovávame a spracovávame súbory cookies a osobné údaje, jedinečné identifikátory a štandardné informácie. Súhlas s vyššie uvedeným spracúvaním môžete poskytnúť kliknutím na príslušné tlačidlo. Skôr než súhlas poskytnete, môžete kliknutím jeho poskytnutie odmietnuť alebo si preštudovať podrobnejšie informácie a zmeniť svoje prednostné nastavenia.

You are using an outdated browser. The website may not be displayed correctly. Close